您好 欢迎登陆陕西省荣复军人第一医院网站 今天是:

医院新闻


【健康第一课16】 中性粒细胞核象变化与临床意义

[ 信息发布:本站 | 发布时间:2025-09-24 | 浏览:15028次 ]

核象变化是指中性粒细胞细胞核形态的异常改变,主要包括核左移和核右移。

正常情况下外周血中性粒细胞主要以分叶核为主,胞核以3叶核为主杆状核较少,分叶核与杆状核比值为13 :1。在病理情况下会打破此比例,即核左移或核右移。

一、核左移

外周血杆状核增多并出现晚幼粒甚至早幼粒细胞,常伴有明显的胞体大小不等、中毒颗粒、核变性等质的改变。急性感染是最常见的原因,特别是化脓性细菌感染。

(一)依据杆状核粒细胞百分比可分为轻度、中度及重度。

1.轻度核左移(杆状核粒细胞 > 6%):常提示轻度感染。

2.中度核左移(杆状核粒细胞 > 10%,可伴有少量晚幼粒细胞):提示中度至重度感染。

3.重度核左移(杆状核粒细胞 > 25%,出现更幼稚的细胞,如早、中幼粒细胞):考虑“类白血病反应”。

4.急性中毒:如尿毒症、糖尿病酮症酸中毒、急性铅、汞中毒等。

5.急性溶血或失血:机体应激反应导致骨髓加速释放粒细胞。

6.急性髓系白血病(AML),外周血中会出现大量原始、幼稚细胞,这是一种极度的、病理性的“核左移”。

(二)依据白细胞总数区分

1.再生性核左移:白细胞总数增高,同时伴有核左移。表示骨髓造血功能良好,机体抵抗力强。常见于大多数急性感染。

2.退行性核左移:白细胞总数正常或减低,但核左移明显。表示骨髓造血功能衰竭或受损,释放功能发生障碍,是预后不良的征兆。常见于严重感染、机体抵抗力低下时。

(三)其他核象异常

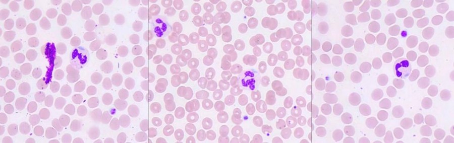
中毒性变化:在严重感染、中毒或肿瘤时,中性粒细胞胞浆和胞核可出现以下异常改变:

1.中毒颗粒:胞浆中出现粗大的深紫色颗粒。


(图1含中毒颗粒的中性粒细胞)

2.空泡形成:胞浆或核内出现空泡,常提示细胞发生吞噬或退化。


(图2 中性粒细胞空泡变性)

3.杜勒小体:胞浆中蓝色的斑块状区域。


(图3 杜勒小体)

4.其他:核固缩、核溶解等退行性变现象。

这些变化与核左移同时出现,进一步支持存在严重感染或中毒状态。

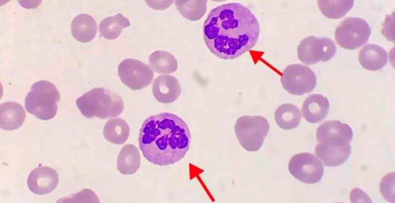
二、核右移

外周血中五叶核及五叶核以上的中性粒细胞>3%,常伴随白细胞总数减少,属造血衰退表现。


(图4多分叶核中性粒细胞)

主要见于:巨幼细胞性贫血、骨髓增生异常综合征、化疗后。

特别指出在炎症恢复期可出现一过性核右移现象。但是在疾病进展期突然出现此现象可提示预后不良。

总结一下,中性粒细胞的核象变化是血常规检查中一个低成本、高价值的动态监测指标。实验室通过借助血涂片仔细观察并准确报告核象变化,能为临床医生提供超越单纯白细胞计数的深层信息,对于早期识别严重感染、鉴别诊断感染类型和贫血原因、评估病情严重程度和机体反应能力、判断预后和疗效观察,具有不可替代的重要作用。

撰稿:周 琦

审核:周稚喆

校对:张皓雯

责编:李 泽






打印  |  关闭




医院新闻